연세백퍼센트병원의
의료진이 함께합니다.
의료진이 함께합니다.











로봇인공관절수술 권위자, 황보현 대표원장!
마코 로봇수술은 황보현 대표원장에게 교육과 인증을 받은 의사만 시행할 수 있습니다.
100여명 이상의 로봇 전문의를 배출한 마코 로봇수술 교육 지도자 황보현 대표원장이
직접 수술하는 연세백퍼센트병원에서 전문적인 치료를 경험하세요.
로봇 인공관절수술 중점병원
의사를 가르치는 의사, 마코 로봇수술 교육 지도자 상주
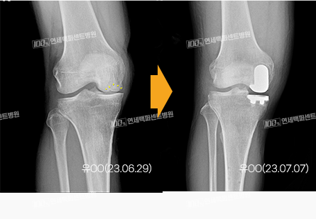
손상된 부분만 선택적으로,
부분 치환술(반치환술)
로봇으로 가능
풍부한 수술 노하우로,
수술 상처 최소화
감염률 및 입원기간 감소
타인의 혈액이 필요없는
무수혈 수술이
가능한 병원






















