주메뉴 바로가기내용 바로가기하단 바로가기
yonsei 100% hospital
족부
관절 족부 척추 질환에 맞춰진 진료 시스템, 연세백퍼센트병원입니다.
yonsei 100% hospital
발 뒤꿈치가 붓고 아픈
아킬레스건염 / 파열
아킬레스건은 장딴지 근육과 발뒤꿈치 뼈를 연결하는 힘줄로 걷고 달릴 때 지렛대 역할을 합니다.
아킬레스건에 염증이 생겨 통증과 부종이 생기는 질환이 아킬레스건염 입니다.

증상을 방치할 경우 힘줄이 약화되고 파열로 이어질 수 있기 때문에 빠른 치료가 필요합니다.
yonsei 100% hospital
아킬레스건염 5대 증상
1.
심한 운동이나 활동 후
발 뒤꿈치에 통증이
느껴진다.
2.
발뒤꿈치 위 아킬레스건
주변이 붓고 열감이
느껴진다.
3.
아킬레스건 주변을
누르면 통증이
느껴진다.
4.
까치발을 들고 걷는 것이
힘들고 종아리가
당긴다.
5.
발뒤꿈치 통증으로
계단을 오르내리기
어렵다.
아킬레스건염


연세백퍼센트병원의
최소침습 아킬레스건염/파열 치료법
 
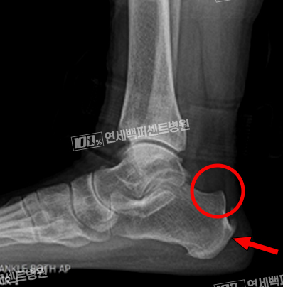
발뒤꿈치가 혹처럼 튀어나왔다면?!
헤글런드(Haglund) 변형 의심!
신발에 닿을때 마다 뒤꿈치가 아프다면?
만성 아킬레스건염 의심!
묵직한 통증과 함께 발을 딛을수 없다면?
아킬레스건파열 의심!
3중 보존 치료
: 충격파 치료 + 프롤로/소염 주사 + 맞춤 깔창
통증 부위에 집중적으로 충격파를 조사하여 힘줄과 주변 조직을 자극시키고 활성화해 통증을 감소!
프롤로/소염 주사로 아킬레스건 강화!
맞춤 깔창으로 아킬레스건 압박 감소!
최소침습 해글런드 변형 절제술
긴 절개 없이 최소침습으로 치료!
돌출된 뒤꿈치 뼈와 아킬레스건 염증 동시 치료!
수 차례의 충격파 치료, 주사치료에 반응 없는 난치성 아킬레스건염 해결!
손OO (23.01.09)
손OO (23.03.09)
최소침습 아킬레스재건술
긴 절개 없이 최소침습으로 치료!
재파열 가능성을 낮춘 특수봉합 테크닉!
파열의 정도, 아킬레스건의 상태에 따른 맞춤형 수술
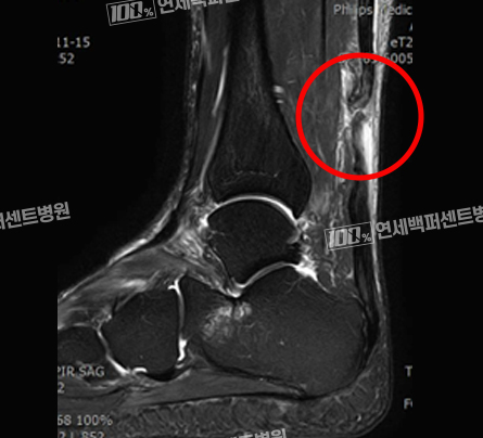
수술 전 MRI 영상
완전히 파열되어 절단된
아킬레스건
기존 절개형 재건술
평균 10cm 정도의 절개를 통해 이루어지며,
만성 건염이 심하거나, 힘줄 이전술이 추가적으로
필요할 경우 시행 됩니다.
최소침습 재건술
평균 3cm 정도의 최소침습 아킬레스 재건술
특수봉합 테크닉으로 기존의 10cm 이상의
절개창을 획기적으로 줄여서 수술후
통증, 흉터, 감염 위험을 낮추었습니다!
yonsei 100% hospital
최소침습 아킬레스 재건술 후 회복상태
최소침습 아킬레스 재건술 6개월 후: 까치발 가능
고OO (22.11.10)
최소침습 아킬레스 재건술 6개월 후: 점프 가능
오O (22.11.15)
yonsei 100% hospital
연세백퍼센트병원
아킬레스 재건술 라이브 후기
yonsei 100% hospital
연세백퍼센트병원
아킬레스건염/파열 유튜브 정보
TOP
홈페이지에서 온라인 상담 · 예약이 가능합니다.
[자세히보기]