주메뉴 바로가기내용 바로가기하단 바로가기
yonsei 100% hospital
고관절
관절 족부 척추 질환에 맞춰진 진료 시스템, 연세백퍼센트병원입니다.
yonsei 100% hospital
퇴행성 고관절염
고관절에 퇴행성 변화가 일어나 연골이 손상되어
서서히 통증과 염증을 일으키는 질환
고관절은 움직일 때 체중을 지탱하며, 다리의 걷고 뛰는 운동 기능을 합니다. 고관절 부위에는 그 부위를 보호하는
연골이 있는데, 무리한 움직임이나 뒤틀린 자세로 손상을 입게 되면 통증이 생길 수 있습니다.
yonsei 100% hospital
퇴행성 고관절염의 주요원인
60대의 고령환자에게 흔히 발생하는 가장 흔한 형태의 고관절염으로, 고관절이 변형되거나 손상, 마모되며 통증이 발생됩니다.
질환이 서서히 진행되는 특징이 있어 초기 발견이 쉽지 않으며, 시간이 경과할 수록 고관절을 움직일 수 있는 운동 범위가 점점 제한됩니다.
관절을 보호하는
연골의 마모
쪼그려 앉는 생활습관이 있거나
관절을 무리하게 사용하는 직업군
무리한 다이어트 혹은
비만과 심한 운동
yonsei 100% hospital
퇴행성 고관절염의 주요증상
보행 시에 심해지고 관절의 운동 제한과 많이 걸으면 다리를 절게 됩니다.
대퇴골두와 비구의 연골이 마모되어 뼈의 변형이 일어나 통증,
관절 운동 범위의 감소 및 쩔뚝거리며 걷게 되는 것이 주된 증상입니다.
사타구니 부분, 엉덩이 옆이나
뒤쪽이 아픈 증상이 있다.
허벅지 앞쪽으로 고관절보다
아래쪽까지 통증이 있다.
양반다리 할 때 통증이 있거나
양반다리 자세를 하기 어려워진다.
yonsei 100% hospital
퇴행성 고관절염 치료방법
병변의 초기에는 주기적으로 방사선 촬영과 함께 약물 요법으로 보존적 치료를 시행합니다.
보존적 치료에도 증상이 호전되지 않거나, 부분 파열의 정도가 심한 경우 수술적 치료를 권합니다.
비수술치료
병변의 초기에는 주기적으로 방사선 촬영과
함께 약물 요법으로 보존적 치료를 시행합니다.
비수술치료
더 알아보기 +
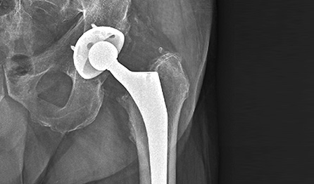
수술치료 [고관절 반치환술]
대퇴 골두 부분만 제거하고 인공관절을
삽입하여 대퇴골 경부를 새로 만드는 치료입니다.
수술치료
더 알아보기 +
수술치료 [고관절 전치환술]
대퇴 골두와 골반 비구를 일정 부분 잘라낸 후
인공관절을 삽입하여 관절로서의 역할을
할 수 있게 만드는 치료
입니다.
수술치료
더 알아보기 +
TOP
홈페이지에서 온라인 상담 · 예약이 가능합니다.
[자세히보기]