주메뉴 바로가기내용 바로가기하단 바로가기
yonsei 100% hospital
족부
관절 족부 척추 질환에 맞춰진 진료 시스템, 연세백퍼센트병원입니다.
yonsei 100% hospital
발바닥의 아치가 소실된
평발 교정
평발은 발바닥의 안쪽 아치가 소실되거나 비정상적으로 낮아진 변형을 말합니다.
가장 흔한 원인은 관절이 과도하게 유연하여 발생하며 이 외에도 신경 근육성 질환 등
선천적 원인, 외상, 류마티스 관절염, 후경골근 기능장애가 원인이 되어 발생하기도 합니다.
yonsei 100% hospital
평발의 5대 증상
1.
발꿈치가
바깥쪽으로 돌아갔다.
2.
발 안쪽 아치가
소실되었다.
3.
발이
쉽게 피로해 진다.
4.
종아리 근육 통증이
느껴진다.
5.
장시간 보행 시
발, 발목 통증이 느껴진다.
평발
yonsei 100% hospital
평발 보존적 치료
보행, 족저압 분석 후 맞춤형 평발 깔창 치료를 시행하여 체중을 족저에 전반적으로 분산시켜줍니다.
이후 증상의 호전이 있는 경우 경골건 강화를 위한 운동 치료를 시행합니다.
소염진통제 복용, 국소열이나 마사지 요법 등을 시행합니다.
 
맞춤 깔창 치료
족부 수술적 치료 전에 보존적 치료를 시도하는데
사람마다 발의 아치, 굴곡이 다르며 나이, 발의 형태, 통증 부위 위치가 다르므로 ​
개개인의 특성에 맞추어 1:1 맞춤 깔창 치료가 필요합니다.
맞춤 깔창 교정 전
남OO (23.10.11)
맞춤 깔창 교정 후
남OO (23.10.13)
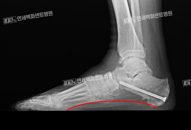
연세백퍼센트병원의
최소침습 관절제동술
안쪽 아치를 만들어줌으로써 평발을 교정하는 수술법으로
발의 외측 복숭아뼈 하방에 나사를 삽입하여
발의 아치가 무너지지 않도록 발의 동작을 제한하는 수술입니다.
치료 후 다시 생긴 발아치


지OO (23.09.14)
평발 관절제동술 후


지OO (23.09.14)
TOP
홈페이지에서 온라인 상담 · 예약이 가능합니다.
[자세히보기]