주메뉴 바로가기내용 바로가기하단 바로가기
yonsei 100% hospital
족부
관절 족부 척추 질환에 맞춰진 진료 시스템, 연세백퍼센트병원입니다.
yonsei 100% hospital
발 뒤꿈치가 붓고 아픈
발목 후방충돌 증후군
후방충돌증후군(삼각골증후군)은 발목뼈 뒤쪽에 분리되어 있는 뼈조각과
그 뒤를 지나가는 힘줄이 충돌하면서 염증이 발생하는 질환!
축구, 조깅 등의 운동 중 부상 후 발병!
yonsei 100% hospital
발목 후방충돌 증후군 4대 증상
1.
운동이나 활동 후
발뒤꿈치에 통증이 느껴진다.
2.
발뒤꿈치 위 아킬레스건
주변이 붓고 열감이 느껴진다.
3.
까치발을 들고 걷는 것이
힘들고 종아리가 당긴다.
4.
발뒤꿈치 통증으로
계단을 오르내리기 어렵다.
발목 후방충돌 증후군
연세백퍼센트병원의
후방충돌증후군 치료법
보행시 발목 뒤쪽이 지속적으로 아프다면?
수차례의 체외충격파 및 주사치료에도 호전이 없다면?!
정확한 정밀 진단 및 맞춤형 치료 솔루션!
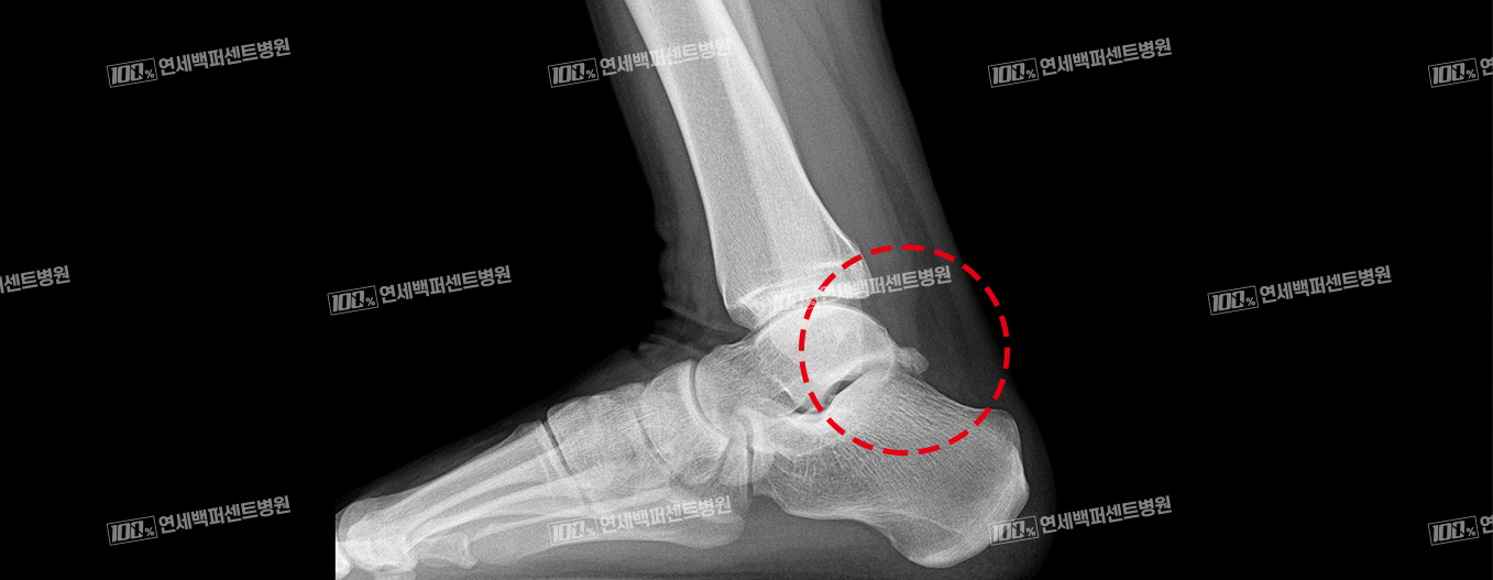
X-ray 소견
MRI 소견
연세백퍼센트병원의
최소침습 발목 후방내시경술
내시경을 이용하여 긴 절개 없이 최소침습으로 치료!
염증, 충돌을 일으키는 뼈조각만 선택적 제거!
시술 당일 부터 보행 가능!
발목 후방내시경술 시술 장면
발목 후방내시경술 중
김OO (23.04.20)
발목 후방내시경술 후
김OO (23.04.20)
yonsei 100% hospital
연세백퍼센트병원의
발목 후방내시경술 사례
발목 후방내시경술 전: MRI

정OO (22.07.13)
발목 후방내시경술 후: MRI

정OO (23.11.09)
발목 후방내시경술 전: X-ray

이OO (22.09.01)
발목 후방내시경술 후: X-ray

이OO (22.10.13)
yonsei 100% hospital
연세백퍼센트병원
발목 후방내시경술 라이브 후기
TOP
홈페이지에서 온라인 상담 · 예약이 가능합니다.
[자세히보기]